Η Προσθετική είναι ο κλάδος της Οδοντιατρικής που ασχολείται με την υποκατάσταση των ελλειπόντων δοντιών. Διακρίνεται στην Ακίνητη και την Κινητή Προσθετική, ανάλογα με το εάν η αποκατάστασή μας συγκολλάται μόνιμα στο στόμα (στεφάνες-γέφυρες) ή αφαιρείται και επανατοποθετείται από τον ασθενή όποτε το επιθυμεί (ολικές και μερικές οδοντοστοιχίες).
Προσθετική
Αντίστοιχα είδη αποκαταστάσεων (ακίνητες ή κινητές) μπορούν να στηριχθούν επάνω σε εμφυτεύματα, ακόμη και σε περιπτώσεις που κάποιος έχει χάσει πολλά ή και όλα του τα δόντια (επιεμφυτευματικά στηριζόμενες γέφυρες και οδοντοστοιχίες).
Tip: Στη σύγχρονη Οδοντιατρική, εκείνο που προέχει είναι ο ακριβής σχεδιασμός του περιστατικού, μέσω της δημιουργίας μιας ‘προσομοίωσης’ του τελικού αποτελέσματος, που ονομάζεται διαγνωστικό κέρωμα. Μέσω αυτού, μπορούμε από την αρχή να ‘προβάρουμε’το σχεδιασμό μας στο στόμα του ασθενή με προσωρινά υλικά (διαδικασία που ονομάζεται ‘mock up’) και έτσι να βεβαιωθούμε ότι η μελλοντική αποκατάσταση θα ικανοποιεί τις αισθητικές και λειτουργικές του απαιτήσεις.Πρόκειται ουσιαστικά για έναν ‘ανάστροφο σχεδιασμό’ (‘backwards planning’),στον οποίο ο ασθενής συμμετέχει ενεργά και ο οποίος διασφαλίζει σε μεγάλο βαθμό την τελική επιτυχία, ακόμη και στα πιο πολύπλοκα περιστατικά εκτεταμένης απώλειας δοντιών και διαταραχής της σύγκλεισης, όπου απαιτείται ολική στοματική αποκατάσταση (full mouth rehabilitation).
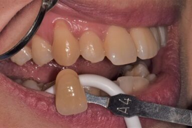
Η συνεργασία μας με κορυφαία οδοντοτεχνικά εργαστήρια, εγγυάται την παράδοση εξατομικευμένων προσθετικών εργασιών υψηλής ποιότητας και αισθητικής…
Συνοπτικά, οι προσθετικές επιλογές που διαθέτουμε σήμερα, είναι οι ακόλουθες:
⦁ ολοκεραμικές στεφάνες-γέφυρες
⦁ μεταλλοκεραμικές στεφάνες-γέφυρες
⦁ επιεμφυτευματικές αποκαταστάσεις (κινητές ή ακίνητες)
⦁ όψεις πορσελάνης/σύνθετης ρητίνης
⦁ ένθετα πορσελάνης/σύνθετης ρητίνης
⦁ αποκαταστάσεις ελάχιστης ή καθόλου παρέμβασης (onlays, γέφυρες Maryland)
⦁ ολικές οδοντοστοιχίες
⦁ μερικές οδοντοστοιχίες, οι οποίες εφαρμόζονται με συνδέσμους ακριβείας, ώστε να μην υπάρχει θέα μετάλλου.
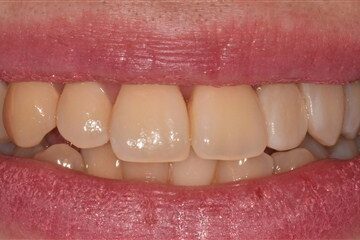
Περιπτώσεις ολικής στοματικής αποκατάστασης με κεραμικά υλικά, που πραγματοποιήθηκαν στο ιατρείο μας.
Εμφράξεις (Σφραγίσματα)
Εμφράξεις δοντιών με διαστρωματική τεχνική
Η μαγεία και η τέχνη της βιομίμησης, μία πρόκληση καλλιτεχνικής δημιουργίας!
Το δόντι αποτελεί μία μοναδική όσο και συναρπαστική δομή του ανθρώπινου σώματος! Το τμήμα του που φαίνεται στο στόμα(μύλη), αποτελείται εξωτερικά από την αδαμαντίνη-γνωστή και ως σμάλτο, λόγω της λαμπερής της εμφάνισης- και εσωτερικά από την οδοντίνη, ενώ μεταξύ τους παρεμβάλλεται μία λεπτή, αλλά διακριτή διάμεση ζώνη.
Κάθε μία από αυτές τις δομές, εμφανίζει ιδιαίτερα και διαφορετικά μεταξύ τους χαρακτηριστικά, που διαμορφώνουν μεταξύ άλλων και την οπτική τους συμπεριφορά .Για παράδειγμα, η οδοντίνη που αποτελεί την εν τω βάθει βασική δομή, είναι περισσότερο αδιαφανής, με χαρακτηριστικά μεγάλης χρωματικής έντασης και είναι αυτή που καθορίζει το βασικό χρώμα του δοντιού. Από την άλλη, η αδαμαντίνη καλύπτει την οδοντίνη σε λεπτότερα στρώματα, είναι διαφανής και είναι εκείνη που ‘’ομορφαίνει’’ τα δόντια, προκαλώντας τα οπτικά φαινόμενα του ιριδισμού και οπαλισμού. Τέλος, η διάμεση ζώνη είναι αυτή που βοηθά στην αίσθηση του ‘βάθους’ αυτής της σύνθετης δομής.
Από τα παραπάνω είναι προφανές ότι , σε περίπτωση απώλειας αυτής της δομής από τερηδόνα ή τραυματισμό, είναι αδύνατο να προσφέρει κανείς-ειδικά στα μπροστινά δόντια- μία πραγματικά φυσική-αόρατη αποκατάσταση, χρησιμοποιώντας απλά και μόνο ένα υλικό. Κάτι τέτοιο θα έμοιαζε περισσότερο με ‘μπάλωμα’ και θα κατέληγε σε αποκαταστάσεις που ‘φωνάζουν’ ότι είναι ψεύτικες είτε γιατί ‘γκριζάρουν’(υπερβολικά διαφανείς) είτε γιατί είναι ‘ματ’(υπερβολικά αδιαφανείς).
Τη λύση σε αυτόν τον περιορισμό έχει δώσει σήμερα η ανάπτυξη ιδιαίτερα εξελιγμένων συστημάτων σύνθετων ρητινών, με τα οποία μπορούμε να δημιουργήσουμε πραγματικά φυσικές αποκαταστάσεις, οι οποίες δεν ξεχωρίζουν καθόλου από το υπόλοιπο δόντι. Αυτό το επιτυγχάνουμε με την τεχνική της διαστρωμάτωσης, που σημαίνει ότι αποκαθιστούμε την κάθε μία από τις προαναφερθείσες οδοντικές δομές με σύνθετη ρητίνη παρόμοιων οπτικών ιδιοτήτων.
Με λίγα λόγια τοποθετούμε διαφορετικό υλικό για την οδοντίνη, διαφορετικό για την αδαμαντίνη και διαφορετικό για την απόδοση της κοπτικής διαφάνειας(διάφανη ζώνη στο κοπτικό άκρο του δοντιού). Παράλληλα, έχουμε τη δυνατότητα να χρησιμοποιήσουμε βοηθητικές ρητίνες ιδιαίτερων αποχρώσεων(κίτρινης, καφέ, πορτοκαλί κυανής, λευκής), προκειμένου να μιμηθούμε ακόμη και πολύ ‘δύσκολες’ χρωματικές λεπτομέρειες του εκάστοτε δοντιού (ρωγμές, λευκές ζώνες ‘σαν συννεφάκια’ κ ά)
Η βιομιμητική αυτή προσέγγιση ολοκληρώνεται με δύο εξίσου σπουδαία στάδια: την απόδοση της σωστή μικρο-δομής (μικρολεπτομερειών της εξωτερικής επιφάνειας) και τη λεπτομερή στίλβωση ( γυάλισμα) της αποκατάστασης.
Ενδοδοντία (Απονευρώσεις)
Η αναζήτηση στα ‘μονοπάτια’ των ριζών
Χωρίς αμφιβολία το κομμάτι της ενδοδοντικής θεραπείας-γνωστής ως ‘απονεύρωση’- είναι ένα από τα σπουδαιότερα ‘όπλα’ μας, για τη διατήρηση ενός δοντιού στο φραγμό.
Διενεργείται όταν ένα δόντι εμφανίσει μή αντιστρεπτή φλεγμονή, λόγω εκτεταμένης τερηδόνας ή τραύματος ή όταν ένα δόντι εμφανίσει απόστημα λόγω νέκρωσης. Αποτελεί τη συνηθέστερη μορφή επείγουσας οδοντιατρικής θεραπείας.
⦁ Τα ποσοστά επιτυχίας των ενδοδοντικών θεραπειών είναι πραγματικά εντυπωσιακά υψηλά:
-άνω του 90% για δόντια με φλεγμαίνοντα αλλά ζωντανό πολφό (νεύρα και αγγεία του εσωτερικού του δοντιού),
-σαφώς χαμηλότερα, αλλά πάλι άνω του 70% σε δόντια με περιακρορριζική παθολογία (δηλαδή ‘νεκρά’).
⦁ Αυτό βεβαίως προϋποθέτει την τήρηση ενός πολύ αυστηρού πρωτοκόλλου εργασίας που περιλαμβάνει:
-Την αναισθητοποίηση του δοντιού
-Την απομόνωση του από το αίμα και το σάλιο
-Τη σωστή διάνοιξη του δοντιού και των εντοπισμό όλων των ριζικών σωλήνων σε κάθε ρίζα
-Την εκτίμηση του μήκους των ριζικών σωλήνων. Πρόκειται ίσως για το κομβικότερο στάδιο, καθώς κακή σχετική εκτίμηση του, μπορεί να οδηγήσει σε αποτυχία της θεραπείας. Για το λόγο αυτό χρησιμοποιούμε συσκευές τελευταίας γενιάς, που ονομάζονται ‘εντοπιστές ακρορριζίου’.
-Την απομάκρυνση του φλεγμαίνοντος ή σηπτικού περιεχομένου από το εσωτερικό των σωλήνων ,μέσω ρινισμών με ειδικά μικροεργαλεία και τον παράλληλο διακλυσμό με αντισηπτικά διαλύματα. Στο σύνολό τους οι διαδικασίες αυτές ονομάζονται «χημικομηχανική επεξεργασία» και αποσκοπούν στη μεγαλύτερη δυνατή ελάττωση του μικροβιακού φορτίου.
-Τέλος, την τρισδιάστατη ερμητική έμφραξη των -καθαρών πλέον- ριζικών σωλήνων με βιοαδρανή υλικά, τα οποία θα παραμείνουν εφόρου ζωής εκεί, εμποδίζοντας την επαναποίκηση των ριζικών σωλήνων από μικρόβια.
Tip: Θα πρέπει εδώ να τονιστεί ιδιαίτερα, ότι η ενδοδοντική θεραπεία δεν εξασφαλίζει από μόνη της την επιβίωση και του δοντιού συνολικά, αλλά αποτελεί το πρώτο βήμα για την επίτευξη αυτού του στόχου. Εξίσου σπουδαία είναι στη συνέχεια η επιλογή της κατάλληλης αποκατάστασης του δοντιού, που θα εξασφαλίσει τη βιολογική και μηχανική επιτυχία της συνολικής θεραπείας μακροπρόθεσμα.
Για το λόγο αυτό, τα σύγχρονα θεραπευτικά πρωτόκολλα συνιστούν την προστασία των ενδοδοντικά θεραπευμένων δοντιών με έμμεσες αποκαταστάσεις, όπως ένθετα,επένθετα ή στεφάνες(θήκες), οι οποίες έχει βρεθεί ότι προσφέρουν πολύ καλύτερη πρόγνωση μακροπρόθεσμα, σε σχέση με το άμεσο ‘χτίσιμο’ του δοντιού στο στόμα με σύνθετη ρητίνη.
Θεραπεία Κροταφογναθικής Άρθρωσης
Η κροταφογναθική διάρθρωση (ΚΦΓΔ), είναι η δομή όπου η κάτω γνάθος αρθρώνεται στη βάση του κρανίου.
Διάφορες αιτίες, όπως:
⦁ μηχανικό τραύμα,
⦁ ψυχολογικό στρες,
⦁ παραλειτουργικές συνήθειες (σφίξιμο-τρίξιμο των δοντιών)
⦁ η συγκλεισιακή δυσαρμονία,
είναι δυνατόν σε βάθος χρόνου να προκαλέσουν δομικές και λειτουργικές διαταραχές στη λειτουργία της άρθρωσης.Οι διαταραχές αυτές, μπορεί να αφορούν στη δομή της άρθρωσης, στη λειτουργία των μυών που εμπλέκονται στην περιοχή ή να είναι μικτές.
Τα συμπτώματα των διαταραχών αυτών, ποικίλουν σε εντόπιση και βαρύτητα και μπορεί να περιλαμβάνουν:
⦁ Ήχους από την άρθρωση (κριγμός,clicking), κατά το άνοιγμα και κλείσιμο του στόματος
⦁ Αίσθημα ‘σφιξίματος’ της γνάθου, ιδιαιτέρως κατά την πρωϊνή έγερση
⦁ Περιορισμό στη διάνοιξη του στόματος
⦁ Παρεκτόπιση της γνάθου κατά τη διάνοιξη του στόματος
⦁ Πόνο στη γναθοπροσωπική χώρα, που μπορεί να αντανακλά στο κεφάλι και τον τράχηλο
⦁ Σε σοβαρές περιπτώσεις, εξάρθρημα της γνάθου και ‘κλείδωμα’ της άρθρωσης
Η θεραπεία των προβλημάτων αυτών είναι ανάλογη της αιτίας του προβλήματος:
⦁ Ξεκινά με την ενημέρωση και ενεργοποίηση του ασθενή, όσον αφορά τον ενσυνείδητο περιορισμό των παραγόντων που μπορεί να ελέγξει(π.χ. το σφίξιμο των δοντιών στη διάρκεια της ημέρας, η αποφυγή έντονης διάνοιξης του στόματος κ.ά)
⦁ Ακολούθως, μπορεί να δοθεί ένα πρόγραμμα φυσικοθεραπείας της άρθρωσης, που περιλαμβάνει θερμοθεραπεία και ένα πρόγραμμα απλών ασκήσεων της γνάθου.
⦁ Πολύ σημαντικό στάδιο στη θεραπεία της άρθρωσης αποτελεί η χρήση νυχτερινού νάρθηκα σταθεροποίησης, ειδικά σε περιπτώσεις σφιξίματος ή τριξίματος των δοντιών κατά τον ύπνο(παραλειτουργική συνήθεια, που ονομάζεται ‘βρουξισμός’)
Tip: Τα προβλήματα της ΚΦΓΔ και ιδιαιτέρως το σφίξιμο και τρίξιμο των δοντιών κατά τον ύπνο(βρουξισμός), χωρίς αμφιβολία έχουν εξελιχθεί σε μία σύγχρονη μάστιγα. Ο αγχώδης τρόπος ζωής έχει οδηγήσει σε εκρηκτική αύξηση παρόμοιων προβλημάτων, τα οποία εάν αφεθούν χωρίς έγκαιρη αντιμετώπιση, μπορούν να οδηγήσουν σε σημαντικές φθορές στα δόντια και στην άρθρωση. Είναι λοιπόν μεγάλης σημασίας ο έγκαιρος εντοπισμός της βλαβερής συνήθειας του βρουξισμού και η αναχαίτιση των καταστρεπτικών του επιδράσεων στα δόντια και την άρθρωση με την κατασκευή και χρήση του κατάλληλου νάρθηκα προστασίας
Ο νάρθηκας αυτός (νάρθηκας σταθεροποίησης ή νάρθηκας Michigan) θα πρέπει να έχει συγκεκριμένες προδιαγραφές κατασκευής και ρύθμισης στο στόμα,διότι η χρήση ενός λανθασμένου νάρθηκα μπορεί να κάνει περισσότερο κακό παρά καλό, ενώ εξίσου σπουδαίος είναι ο περιοδικός έλεγχος και η επαναρρύθμιση του νάρθηκα, κατά την τακτική επανεξέταση του βρουξιστή ασθενή.

Εικ.1 Ασθενής με εκτεταμένες αποτριβές λόγω
βρουξισμού

Εικ.2 Ο ίδιος ασθενής με αποκατεστημένη σύγκλειση
και αισθητική με μεταλλοκεραμικές
γέφυρες και νάρθηκα νυχτερινής
προστασίας

Εικ.3 Τα βέλη δεικνύουν τις αποτριβές των
μασητικών φυμάτων, ως
συνέπεια της συνήθειας του βρουξισμού

Εικ.4 Τα βέλη δεικνύουν τις αποτριβές των
μασητικών φυμάτων, ως
συνέπεια της συνήθειας του βρουξισμού
Λεύκανση
Η λεύκανση των δοντιών αποτελεί μία αρκετά δημοφιλή οδοντιατρική διαδικασία, κατά την οποία επιδιώκουμε τη βελτίωση του χρώματος των δοντιών, μέσω της εφαρμογής χημικών παραγόντων.
Διάφορες συνήθειες, όπως το κάπνισμα ή η υπερκατανάλωση χρωμογόνων τροφών και ποτών, καθώς και η φυσιολογική διαδικασία γήρανσης της οδοντικής δομής, είναι δυνατόν να επηρεάσουν το χρώμα των δοντιών, οδηγώντας σε μία λιγότερο ελκυστική εμφάνισή τους.
Με τη διαδικασία της λεύκανσης, μπορούμε να επιτύχουμε την επαναφορά του χρώματος του ασθενή, μέσω της εξουδετέρωσης των ανεπιθύμητων χρωστικών.
Υπάρχουν δύο βασικοί τρόποι λεύκανσης:
Η λεύκανση στο ιατρείο.
Είναι ο πιο εύκολος τρόπος, αφού ολοκληρώνεται σε μία ή δύο συνεδρίες, ωστόσο τα αποτελέσματα είναι μη προβλέψιμα και συνήθως πενιχρά. Ο λευκαντικός παράγοντας εφαρμόζεται σε υψηλή συγκέντρωση, οδηγώντας σε μία αφυδάτωση της οδοντικής δομής, η οποία εμφανίζεται πιο ‘ματ’, δημιουργώντας μία ψευδαίσθηση έντονης λεύκανσης. Ωστόσο, πολύ σύντομα η οδοντική επιφάνεια επανυδατώνεται και έτσι, μέσα σε λίγες ημέρες, υπάρχει μία έντονη υποτροπή του χρώματος στα προ λεύκανσης επίπεδα.
Εξίσου αμφιλεγόμενη είναι η χρήση ‘ειδικής λάμπας λεύκανσης’, αφού η υποσχόμενη επιτάχυνση και επίταση της λεύκανσης μέσω αυτών των συσκευών στερείται επιστημονικής αποδοχής και τεκμηρίωσης.
Η λεύκανση στο σπίτι με εξατομικευμένους νάρθηκες.
Πρόκειται για την αποτελεσματικότερη μέθοδο λεύκανσης των δοντιών.
Κατ’αυτήν λαμβάνονται αποτυπώματα των δοντιών του ασθενή και κατασκευάζονται εξατομικευμένοι νάρθηκες, μέσα στους οποίους ο ασθενής τοποθετεί το λευκαντικό υλικό, σύμφωνα πάντα με τις οδηγίες του οδοντιάτρου. Ο λευκαντικός παράγοντας εφαρμόζεται σε χαμηλότερη συγκέντρωση, αλλά για περισσότερες ημέρες, είτε κατά τη νύχτα είτε κατά τη διάρκεια της ημέρας. Η διαδικασία ελέγχεται ανά 4-5 ημέρες από τον Οδοντίατρο και συνεχίζεται μέχρι να φτάσουμε στο επιθυμητό αποτέλεσμα, με τη συνήθη διάρκεια θεραπείας να κυμαίνεται μεταξύ μίας και δύο εβδομάδων.
Η συνδυαστική μέθοδος
Κατά τη μέθοδο αυτή, πραγματοποιούμε μία αρχική ενεργοποίηση της λευκαντικής διαδικασίας στο ιατρείο, η οποία ακολουθείται από τη συνέχιση της θεραπείας με νάρθηκες στο σπίτι. Με τη συνδυαστική προσέγγιση μειώνουμε το συνολικό χρόνο της θεραπείας, αλλά δεν αυξάνουμε περαιτέρω το τελικό αποτέλεσμα αυτής .










