Ο γνωστός-άγνωστος εχθρός της στοματικής υγείας
Περιοδοντίτιδα
Η περιοδοντίτιδα είναι μία αρκετά συνηθισμένη νόσος της στοματικής κοιλότητας, η οποία, εάν παραμείνει αθεράπευτη, οδηγεί σε εκτεταμένη απώλεια δοντιών και κατά συνέπεια σε μια μορφή αναπηρίας του ατόμου που πάσχει. Η απώλεια αυτή, όχι μόνο υποβαθμίζει την αισθητική του προσώπου, αλλά και υπονομεύει πολύ σημαντικές λειτουργίες , όπως η μάσηση και η ομιλία, με ό,τι αρνητικό κάτι τέτοιο συνεπάγεται τόσο για την υγεία,όσο και για την αυτοπεποίθηση και ψυχολογία του πάσχοντος.
Τί είναι η περιοδοντίτιδα;
Η περιοδοντίτιδα, όπως και η ετυμολογία της λέξης υποδηλώνει, είναι μία χρόνια φλεγμονή των ιστών «πέριξ του δοντιού». Πρόκειται ουσιαστικά για μία μικροβιακή λοίμωξη που προσβάλλει τους ιστούς οι οποίοι στηρίζουν και συγκρατούν το δόντι στη θέση του και πιο συγκεκριμένα:
1.τα ούλα,
2.το περιρρίζιο (τις ίνες δηλαδή που συνδέουν το δόντι με το οστό),
3. την οστεΪνη (τη σκληρή ουσία που καλύπτει τη ρίζα του δοντιού) και
4.το στηρικτικό οστό των γνάθων
Τί ακριβώς συμβαίνει στην περιοδοντίτιδα;
Η περιοδοντίτιδα ξεκινά όταν σχηματίζεται πέτρα και μικροβιακή πλάκα(που ονομάζεται βιοϋμένιο) στο εσωτερικό των ούλων. Ως αμυντική αντίδραση του οργανισμού στην προσβολή των περιοχών αυτών από περιοπαθογόνα μικρόβια, τα οποία πολλαπλασιάζονται και δημιουργούν αποικίες ,εκλύεται μία φλεγμονώδης ανοσοβιολογική «απάντηση», τελικό αποτέλεσμα της οποίας είναι η λύση της δομικής ακεραιότητας των περιοδοντικών ιστών και η δημιουργία του περιοδοντικού θυλάκου, ενός σχισμοειδούς χώρου δηλαδή, μεταξύ ούλων και δοντιού. Από εκεί και πέρα η εξέλιξη της περιοδοντίτιδας αντιπροσωπεύει έναν «φαύλο κύκλο», όπου ο ασθενής αδυνατεί να καθαρίσει την περιοχή εντός του θυλάκου και η φλεγμονή σταδιακά επιδεινώνεται, οδηγώντας με τη σειρά της σε περαιτέρω εκβάθυνση του θυλάκου κ.ο.κ…
Σχετίζεται η περιοδοντίτιδα με την ουλίτιδα;
Η ουλίτιδα αποτελεί το αρχικό στάδιο εξέλιξης της περιοδοντικής νόσου, καθώς τα ούλα είναι ο πρώτος ιστός που προσβάλλεται. Γνωρίζουμε ωστόσο, ότι εάν η ουλίτιδα θεραπευθεί έγκαιρα, οδηγείται σε πλήρη ίαση. Βεβαίως, στο εάν θα μεταπέσει μία αθεράπευτη ουλίτιδα σε περιοδοντίτιδα, υπεισέρχονται και γονιδιακοί παράγοντες, οι οποίοι καθορίζουν το είδος και την ένταση της ανοσιακής απάντησης του κάθε οργανισμού. Έτσι, σε κάποιους ανθρώπους μπορεί να έχουμε μία ταχεία μετάπτωση της μίας νόσου στην άλλη, ενώ σε άλλους μία ουλίτιδα δε θα εξελιχθεί ποτέ σε περιοδοντίτιδα ,ακόμη κι αν μείνει για χρόνια χωρίς θεραπεία
Σχετίζεται η περιοδοντίτιδα με άλλα νοσήματα;
Σήμερα γνωρίζουμε ότι η περιοδοντίτιδα σχετίζεται με κάποια νοσήματα, ενώ η σχέση της με αρκετά ακόμη έχει προταθεί και ερευνάται.
Είναι απολύτως τεκμηριωμένη για παράδειγμα, η συσχέτισή της με καρδιαγγειακά ισχαιμικά επεισόδια (έμφραγμα του μυοκαρδίου και ισχαιμικό εγκεφαλικό επεισόδιο), με τις πρόσφατες έρευνες να ανεβάζουν τον σχετικό κίνδυνο στο διπλάσιο, σε σχέση με την ομάδα ελέγχου.
Γνωρίζουμε επίσης ότι μία αθεράπευτη περιοδοντίτιδα μπορεί να επισπεύσει την εμφάνιση σακχαρώδους διαβήτη τύπου 2 ή να επιδεινώσει το διαβήτη όταν αυτός υπάρχει, ενώ σακχαροδιαβητικοί που υποβλήθηκαν σε περιοδοντική θεραπεία, βελτίωσαν την τιμή της γλυκοζυλιωμένης αιμοσφαιρίνης κατά 0,4 μονάδες, τιμή που ισοδυναμούσε με την προσθήκη δευτέρου φαρμάκου στον ασθενή.
Έρευνες γίνονται και σε εγκύους για την πιθανή συσχέτιση με το σύνδρομο του ελλιποβαρούς εμβρύου, χωρίς ωστόσο μέχρι στιγμής να υπάρχει ισχυρή τεκμηρίωση.
Οπωσδήποτε χρειάζονται περισσότερες έρευνες και μία διεπιστημονική, ψύχραιμή ανάγνωση και ερμηνεία της σχετικής ερευνητικής δραστηριότητας, ούτως ώστε η όποια συσχέτιση της περιοδοντίτιδας με άλλα νοσήματα, να τεθεί σε μία τεκμηριωμένη και κοινά αποδεκτή βάση.
Ποια είναι τα συμπτώματα εκείνα, που θα οδηγήσουν τον ασθενή στον Οδοντίατρο;
Δυστυχώς, όπως συμβαίνει σε όλες τις χρόνιες νόσους, η περιοδοντίτιδα δεν «ειδοποιεί» έγκαιρα τον ασθενή, διότι τα συμπτώματα στα πρώτα στάδια εξέλιξής της είναι ήπια. Περιλαμβάνουν μία αίσθηση «φαγούρας» στα ούλα και μία ήπια αιμορραγία στο βούρτσισμα, που από τους περισσότερους ασθενείς εκλαμβάνεται- λανθασμένα- ως φυσιολογική και έτσι δεν αναζητούν ειδική θεραπεία . Ειδικά στους βαρείς καπνιστές( 10 τσιγάρα την ημέρα και πάνω), είναι πιθανό τα πρόδρομα αυτά συμπτώματα να απουσιάζουν τελείως, λόγω της ισχαιμικής δράσης της νικοτίνης.
Σε πιο προχωρημένα στάδια της νόσου, εμφανίζονται εντονότερα συμπτώματα, όπως:
⦁ Αυτόματες ουλορραγίες. Είναι πιθανό ο ασθενής να εντοπίζει κηλίδες αίματος στο μαξιλάρι του, κατά την πρωινή έγερση.
⦁ Ούλα πρησμένα και έντονα κόκκινα ή μωβ, που μπορεί να δίνουν την εικόνα ότι «ξεκόλλησαν» από το δόντι.
⦁ Έντονη κακοσμία στόματος.
⦁ Υποχώρηση των ούλων-οι ρίζες των δοντιών αρχίζουν να φαίνονται και τα δόντια «μακραίνουν».
⦁ Τα δόντια αρχίζουν να κουνιούνται και να αλλάζουν θέση-«πετάν προς τα έξω»
⦁ Αποστήματα που περιοδικά εκτονώνονται και επανεμφανίζονται, συνοδευόμενα από εκροή πύου, που δημιουργεί μία πικρή γεύση στο στόμα.
Σε τι ακριβώς συνίσταται η θεραπεία;
Η θεραπεία ξεκινά με την ενημέρωση του ασθενή. Πρέπει να του εξηγήσουμε ότι η επιτυχία της θεραπευτικής μας παρέμβασης, εξαρτάται κατά το ήμισυ από τον ίδιο. Η εξέλιξη της περιοδοντικής νόσου, δημιουργεί διευρυμένους χώρους μεταξύ ούλων-δοντιών, που πρέπει να διατηρούνται καθαροί. Αυτό προϋποθέτει την καθημερινή εφαρμογή ενός αυστηρού προγράμματος στοματικής υγιεινής, που περιλαμβάνει τόσο το βούρτσισμα με συγκεκριμένη τεχνική, όσο και τη χρήση βοηθητικών μέσων (μεσοδόντια βουρτσάκια).
Το κομμάτι της καθ’αυτό οδοντιατρικής θεραπείας, περιλαμβάνει τρία στάδια:
- Το πρώτο ονομάζεται συντηρητική φάση ή φάση ελέγχου της φλεγμονής. Περιλαμβάνει την αποτρύγωση (αφαίρεση της υπερουλικής και υποουλικής πέτρας) και την απόξεση των ριζών μέχρι τον πυθμένα των θυλάκων, με στόχο τη μεγαλύτερη δυνατή μείωση των μικροβιακών πληθυσμών. Η διαδικασία αυτή πραγματοποιείται συνήθως ανά τεταρτημόριο (δηλαδή σε 4 συνεδρίες) και πάντοτε υπό τοπική αναισθησία, που θα εξασφαλίσει το ανώδυνο, άρα και την αποτελεσματικότητα της θεραπείας. Η φάση αυτή ολοκληρώνεται με την εξισορρόπηση της σύγκλεισης του ασθενή και με την ακινητοποίηση των δοντιών που εμφανίζουν σημαντική κινητικότητα, μέσω της σύνδεσής τους με άλλα πιο σταθερά (ναρθηκοποίηση). Σε κάποιες τέλος περιπτώσεις, πολύ προχωρημένης ή επιθετικής μορφής της νόσου, μπορεί να συνταγογραφηθούν και αντιβιοτικά, για την ενίσχυση του θεραπευτικού μας αποτελέσματος.
- Η δεύτερη φάση της θεραπείας, αφορά συνήθως τις προχωρημένες-επιπλεγμένες μορφές της νόσου, όπου κάποιοι θύλακοι παραμένουν μετά τη συντηρητική φάση θεραπείας. Ονομάζεται χειρουργική φάση ή φάση εξάλειψης των θυλάκων και περιλαμβάνει αφαιρετικές ή αναγεννητικές χειρουργικές τεχνικές. Αυτές οι τεχνικές έχουν συγκεκριμένες ενδείξεις και θα πρέπει να εφαρμόζονται με φειδώ, ειδικά σε ασθενείς με φτωχή συμμόρφωση στις οδηγίες στοματικής υγιεινής και σε καπνιστές. Θα λέγαμε ότι εδώ τον χρυσό κανόνα αποτελεί το – από αρχαιοτάτων χρόνων- αξίωμα της Ιατρικής:
«ωφελέειν, ή μή βλάπτειν»!
- Η θεραπεία ολοκληρώνεται με το τρίτο στάδιο, που είναι η διατήρηση του θεραπευτικού αποτελέσματος. Ο ασθενής μπαίνει σε ένα πρόγραμμα επανάκλησης ανά 4 – 6 μήνες, κατά το οποίο επανελέγχεται η περιοδοντική κατάσταση και συνήθως γίνεται ένας απλός καθαρισμός των δοντιών.
Είναι επώδυνη η θεραπεία της περιοδοντίτιδας;
Όχι .Η καθ’αυτό θεραπεία διενεργείται υπό τοπική αναισθησία, οπότε ο έλεγχος του πόνου είναι απόλυτος. Μετά την αποδρομή της αναισθησίας, οι περισσότεροι ασθενείς δε χρειάζονται καμία αγωγή, αλλά και οι λίγοι που χρειάζονται, καλύπτονται απόλυτα με ήπια παυσίπονα.
Εάν οι ασθενείς που πάσχουν έχουν ήδη χάσει κάποια δόντια ή έχουν και κάποια «καταδικασμένα», πώς μπορούν να τα αντικαταστήσουν; Τα εμφυτεύματα είναι μία καλή λύση;
Καταρχήν πρέπει να καταστήσουμε απολύτως σαφές, ότι ο ρόλος του Οδοντιάτρου είναι να εξαντλήσει κάθε δυνατότητα παραμονής των φυσικών δοντιών στο στόμα, για όσο περισσότερα χρόνια γίνεται. Κατά την περασμένη κυρίως δεκαετία, με την πρόοδο της τεχνολογίας των οδοντικών εμφυτευμάτων, παρατηρήθηκε μία «στροφή» της Οδοντιατρικής σε πιο επιθετικές λογικές, όπου δόντια με αμφίβολη πρόγνωση εξάγονταν, θα λέγαμε «με ευκολία», με σκοπό να αντικατασταθούν από εμφυτεύματα.
Σήμερα οι απόψεις αυτές έχουν αναθεωρηθεί πλήρως και δε νοείται σε καμία περίπτωση, να προχωρά ο Οδοντίατρος «προληπτικά» σε εξαγωγές δοντιών, προτού εξαντλήσει τις διαθέσιμες θεραπευτικές επιλογές για τη διατήρησή τους.
Από εκεί και πέρα, εάν κάποια δόντια ήδη λείπουν ή, παρά τις προσπάθειές μας, πρέπει να εξαχθούν, η υποκατάστασή τους μπορεί να γίνει είτε με τη συμβατική Προσθετική (γέφυρες, οδοντοστοιχίες) είτε με εμφυτεύματα, εφαρμόζοντας φυσικά εκείνα τα θεραπευτικά πρωτόκολλα που ενδείκνυνται για τον περιοδοντικό ασθενή. Κάθε επιλογή έχει τα υπέρ και τα κατά της και η τελική απόφαση για τη θεραπεία, θα πρέπει να είναι μία σύνθεση των επιθυμιών του ασθενή, του κόστους που μπορεί αυτός να αναλάβει και της γνώσης-εμπειρίας του θεράποντος Οδοντιάτρου, πάντοτε όμως μέσα στα πλαίσια της επιστημονικής τεκμηρίωσης.
.
Εκείνο που προέχει να τονιστεί, είναι ότι πάντοτε προηγείται η θεραπεία της περιοδοντικής νόσου και η επιβεβαίωση της διατήρησης του θεραπευτικού αποτελέσματος και μετά προχωρούμε στην όποια προσθετική αποκατάσταση του ασθενούς.
.
Μεταδίδεται η περιοδοντίτιδα, από το ένα άτομο στο άλλο:π.χ. μεταξύ των συντρόφων με το σάλιο;
Η ανάπτυξη της νόσου είναι πολυπαραγοντική. Περιοπαθογόνα μικρόβια που μπορεί να μεταδοθούν π.χ. με το ερωτικό φιλί, δε μπορούν να προκαλέσουν νόσο, εάν το άτομο που έρχεται σε επαφή με αυτά εφαρμόζει καλή στοματική υγιεινή και απομακρύνει το βιοϋμένιο από τις επιφάνειες των δοντιών συχνά και αποτελεσματικά.
Από την άλλη, εάν έχουμε ένα σύντροφο που έχει αθεράπευτή περιοδοντίτιδα, τότε αυτός »βομβαρδίζει» καθημερινά τον έτερο σύντροφο με μεγάλους μικροβιακούς πληθυσμούς. Εάν ο δεύτερος έχει τη γενετική προδιάθεση να αναπτύξει περιοδοντίτιδα, η μόλυνσή του από τον πρώτο, μπορεί να επισπεύσει την εμφάνισή της.
Για τον ίδιο λόγο τέλος συστήνουμε στους ασθενείς που θεραπεύουμε να εξεταστούν και οι σύζυγοί τους, ώστε να αποφευχθεί η υπονόμευση του θεραπευτικού μας αποτελέσματος από τη συνεχιζόμενη έκθεσή τους στη μόλυνση από το σύντροφο.
Με λίγα λόγια, η περιοδοντίτιδα δεν κολλάει άμεσα όπως διάφορες οξείες ιογενείς ή μικροβιακές λοιμώξεις, ωστόσο η χρόνια επαφή με άτομο που πάσχει, μπορεί να επισπεύσει την εμφάνισή της και αργότερα να επιταχύνει την εξέλιξή της ή να ευνοήσει την υποτροπή της.
Ποιος είναι ο ρόλος του καπνίσματος;;
Το κάπνισμα φαίνεται να παίζει ιδιαίτερα επιβαρυντικό ρόλο. Οι περισσότεροι ασθενείς που θεραπεύουμε με προχωρημένη-επιπλεγμένη περιοδοντίτιδα, είναι βαρείς καπνιστές. Οι ιστοί ενός χρόνιου καπνιστή, έχουν υποστεί μόνιμες εκφυλιστικές αλλοιώσεις, οι οποίες οδηγούν σε:
–ταχύτερη εξέλιξη της νόσου
–μειωμένη ανταπόκριση στη θεραπεία
–αυξημένες υποτροπές  
–ταχύτερη απώλεια δοντιών
Οι βαρείς καπνιστές εξάλλου, αποτελούν αντένδειξη για την εφαρμογή των περισσότερων χειρουργικών τεχνικών-ειδικά των αναγεννητικών, ενώ είναι απολύτως τεκμηριωμένο το αυξημένο ποσοστό επιπλοκών στα εμφυτεύματα, σε ασθενείς με συνδυαστικό ιστορικό περιοδοντίτιδας-καπνίσματος .

Εικ 1: Υγιείς περιοδοντικοί ιστοί

Εικ 2: Ασθενής με περιοδοντίτιδα

Εικ 3: Σχηματική αναπαράσταση της εξέλιξης της περιοδοντικής νόσου.

Εικ 4: αξονική τομή , όπου φαίνεται χαρακτηριστικά η καταστροφή του οστού γύρω από ένα γομφίο, σε ασθενή που πάσχει από περιοδοντίτιδα
Εμφυτευματολογία
Είναι ο κλάδος της Οδοντιατρικής, που ασχολείται με την προσθετική αποκατάσταση ενός ασθενή που έχει χάσει ένα ή περισσότερα δόντια, μέσω της χειρουργικής τοποθέτησης οστεοενσωματούμενων εμφυτευμάτων τιτανίου στο οστό της γνάθου.
Οι αποκαταστάσεις που θα στηριχθούν επάνω στα εμφυτεύματα, μπορεί να είναι ακίνητες ή και κινητές, ανάλογα με το βαθμό της οστικής απώλειας, τον αριθμό των εμφυτευμάτων που τοποθετούνται και τις αισθητικές ανάγκες του περιστατικού.
Με τις επιεμφυτευματικές αποκαταστάσεις, ακόμη και ασθενείς που έχουν χάσει πολλά ή και όλα τους τα δόντια, είναι εφικτό να αποκτήσουν ξανά την χαρά, την αυτοπεποίθηση και τη μασητική ικανότητα των ακίνητων δοντιών.
Tip: Τα ποσοστά επιτυχίας των θεραπειών με εμφυτεύματα, είναι πράγματι εντυπωσιακά υψηλά… 
Ωστόσο, η επιτυχής διεκπεραίωση ενός εμφυτευματολογικού περιστατικού, απαιτεί προσοχή και ακρίβεια στο σχεδιασμό αλλά και στην εκτέλεση, τόσο του χειρουργικού όσο και του προσθετικού μέρους της θεραπείας. 
Για το λόγο αυτό, ο σχεδιασμός της τοποθέτησης των εμφυτευμάτων, γίνεται πάντοτε μετά από ανάλυση τρισδιάστατης απεικόνισης (υπολογιστική τομογραφία κωνικής δέσμης-cbct),ενώ σε περίπτωση που το υπάρχον οστικό υπόστρωμα του ασθενή δεν επαρκεί, είναι αναγκαίο να ενισχυθεί με τη χρήση μοσχευμάτων σκληρών και μαλακών ιστών.
Παράλληλα, για τη διατήρηση του αποτελέσματος, απαιτούνται υψηλά επίπεδα συνεργασίας και συμμόρφωσης του ασθενή στις διαδικασίες καθημερινής στοματικής υγιεινής, αλλά και στους τακτικούς επανελέγχους στο ιατρείο, μετά την αποπεράτωση του περιστατικού.
Συνοπτικά, οι επιεμφυτευματικές αποκαταστάσεις είναι οι κάτωθι:
⦁ Υποκατάσταση ενός δοντιού (δεν τροχίζονται τα διπλανά δόντια, όπως σε μία γέφυρα).
⦁ Υποκατάσταση περισσότερων δοντιών ή και ολόκληρης γνάθου με ακίνητη γέφυρα.
⦁ Χρησιμοποίηση εμφυτευμάτων, με την προσαρμογή σε αυτά συνδέσμων ακριβείας, για την αύξηση της συγκράτησης των ολικών οδοντοστοιχιών.
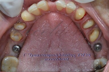
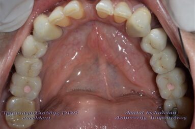
Αποκατάσταση ελλειπόντων γομφίων με εμφυτεύματα
Ολική αποκατάσταση στόματος με ακίνητες γέφυρες στηριζόμενες σε εμφυτεύματα
Μικροχειρουργική Στόματος
Σκοπός των μικρο-χειρουργικών τεχνικών, είναι η διενέργεια χειρουργικών παρεμβάσεων με ειδικά εργαλεία μικρο-διαχείρισης των ιστών (τομής, χειρισμού, συρραφής) υπό οπτική μεγέθυνση. Έτσι εξασφαλίζεται η μεγαλύτερη δυνατή ακρίβεια με το λιγότερο δυνατό τραύμα. Η προσέγγιση αυτή οδηγεί σε μία κατά κανόνα ανώδυνη μετεγχειρητική πορεία και -εν τέλει- στο μέγιστο θεραπευτικό αποτέλεσμα με την ελάχιστη ταλαιπωρία του ασθενή.
Παραδείγματα επεμβάσεων που πραγματοποιούμε με τις παραπάνω τεχνικές, είναι:
⦁ αφαιρετικές και αναγεννητικές τεχνικές στην περιοδοντολογία
⦁ λήψη και χρήση μοσχευμάτων ούλων
⦁ ουλοπλαστική/απόδοση συμμετρίας ουλικών ζενίθ
⦁ κάλυψη ουλικών υφιζήσεων
⦁ χειρουργική επιμήκυνση μύλης
⦁ ακροριζεκτομή
⦁ εκτομή ρίζας/-διχοτόμηση δοντιού
⦁ αφαίρεση οδοντογενών κύστεων
⦁ τεχνικές οστικής ανάπλασης
⦁ διατήρηση μετεξακτικού φατνίου-οστεοπλαστική
⦁ χειρουργική αποκάλυψη/εξαγωγή εγκλείστων δοντιών)
Μικροχειρουργική αποκάλυψη κλινικής μύλης και αποκατάσταση ασυμμετρίας ουλικών ορίων
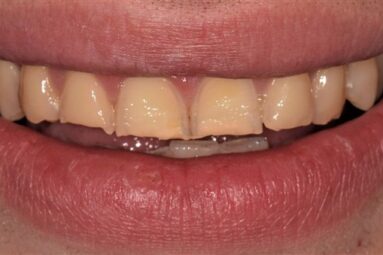
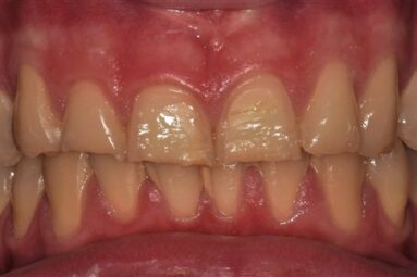
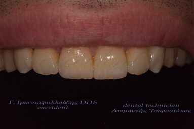
Αισθητική Βελτίωση Χαμόγελου
Πρόκειται για μία σειρά τεχνικών που έχουμε στη διάθεσή μας και οι οποίες αποσκοπούν στη βελτίωση της εμφάνισης στην αισθητική ζώνη των δοντιών.
Ένα όμορφο και υγιές χαμόγελο, είναι απαραίτητη προϋπόθεση για την αυτοπεποίθηση και την πηγαία έκφραση των συναισθημάτων μας.
Αντιθέτως, έχει βρεθεί ότι σημαντικά προβλήματα στην εμφάνιση των δοντιών, μπορούν σε βάθος χρόνου να αποτρέψουν το αυθόρμητο χαμόγελο και να επηρεάσουν αρνητικά την κοινωνικότητα του ατόμου, με τις όποιες δυσμενείς συνέπειες στην ψυχολογία του.
Σήμερα, έχουμε στη διάθεσή μας μία σειρά τεχνικών που αποσκοπούν στη δημιουργία ή την επαναφορά εκείνων των στοιχείων που διαμορφώνουν ένα συμμετρικό και άρα αισθητικό χαμόγελο.
Τρία είναι τα βασικά στοιχεία που διαμορφώνουν την αισθητική του χαμόγελου:
⦁ Η σχέση λευκής-ροζ αισθητικής
Η αρμονία μεταξύ δοντιών και ούλων, είναι πρωτεύουσα στο σχεδιασμό ή τη διόρθωση του χαμόγελου. Υπάρχουν λοιπόν περιπτώσεις όπου χρειάζεται να παρέμβουμε στα δόντια, άλλες όπου χρειάζεται να παρέμβουμε στα ούλα και τέλος υπάρχουν περιπτώσεις όπου χρειάζεται να παρέμβουμε και στα δύο , προκειμένου να επιτύχουμε το μέγιστο αισθητικό αποτέλεσμα
⦁ Οι διαστάσεις και το σχήμα των δοντιών
Ένα σπουδαίο στοιχείο της αισθητικής είναι η αναλογία στις διαστάσεις των δοντιών. Έχει βρεθεί ότι για να φαίνονται τα πρόσθια δόντια όμορφα, θα πρέπει η αναλογία εύρους-ύψους να κυμαίνεται μεταξύ 70-80%. Εάν δεν πληρούται αυτή η συνθήκη, την αποδίδουμε με άμεσες ή έμμεσες αποκαταστάσεις.
Εξίσου σπουδαία είναι η απόδοση ενός σωστού σχήματος δοντιών, που θα ‘ταιριάζει’ στον συγκεκριμένο ασθενή.
⦁ Το χρώμα των δοντιών
Σε περιπτώσεις που το χρώμα των δοντιών δεν μας καλύπτει αισθητικά, μπορούμε να το αλλάξουμε, είτε με λεύκανση είτε μέσω άμεσων ή έμμεσων αποκαταστάσεων
Tip: Οι παρεμβάσεις αισθητικής βελτίωσης του χαμόγελου, μπορούν και θα πρέπει να είναι, εξαιρετικά συντηρητικές. Με διαδικασίες μικρο-χειρουργικής ουλοπλαστικής, όπως η χειρουργική επιμήκυνση μύλης, καθώς και με προσθετικές επιλογές ελάχιστης παρέμβασης(άμεσες αποκαταστάσεις με σύνθετη ρητίνη, όψεις πορσελάνης), μπορούμε να επιτύχουμε ένα εξαιρετικό αισθητικό αποτέλεσμα, χωρίς σημαντικό τραύμα στους ιστούς της περιοχής.
Σε κάθε περίπτωση, σε μία τέτοια θεραπεία, το αποτέλεσμα δε μπορεί να είναι ΄τυχαίο’. Γι αυτό, πριν από οποιαδήποτε παρέμβαση, προηγείται μία ‘πρόβα’ του τελικού αποτελέσματος στο στόμα του ασθενή με προσωρινά υλικά, ούτως ώστε να βεβαιωθούμε ότι ο σχεδιασμός μας ικανοποιεί τις αισθητικές του απαιτήσεις. Μόνον εφόσον ο ασθενής μας εγκρίνει το αποτέλεσμα που βλέπει-και στο οποίο μπορεί να παρέμβει ανάλογα με τα αισθητικά του κριτήρια- προχωρούμε στις τελικές μας αποκαταστάσεις.


















