Ολική αποκατάσταση στόματος με ακίνητες γέφυρες στηριζόμενες σε εμφυτεύματα
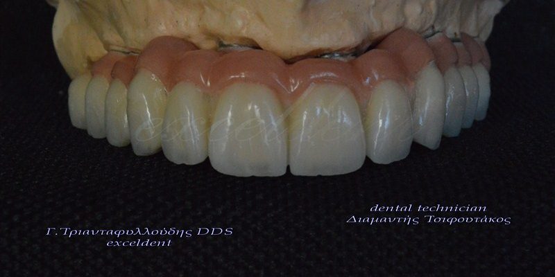
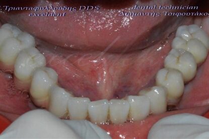
Ακόμη ένα περιστατικό ολικής στοματικής αποκατάστασης ασθενούς με ακίνητες γέφυρες στηριζόμενες σε εμφυτεύματα(8 στην άνω και 7 στην κάτω γνάθο).
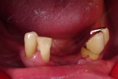
Η συγκεκριμένη ασθενής είχε κατά το παρελθόν κατασκευάσει πλήθος οδοντοστοιχιών(μασέλες), τις οποίες απέρριπτε καθώς είχαν ελλιπή συγκράτηση και της δημιουργούσαν αντανακλαστικό εμέτου.
Με τις νέες ακίνητες αποκαταστάσεις επανήλθε τόσο η αυτοπεποίθηση και η άνεση της ασθενούς όσο και η μασητική της ικανότητα στα προ της απώλειας των δοντιών της επίπεδα.










