Αποκαταστάσεις με οδοντικά εμφυτεύματα
Δε χωρά αμφιβολία ότι τα οδοντικά εμφυτεύματα αποτελούν την αιχμή του δόρατος της σύγχρονης οδοντιατρικής. Είτε πρόκειται για την αποκατάσταση ενός ή περισσοτέρων δοντιών είτε ακόμη και για ολική αποκατάσταση, η τοποθέτηση εμφυτευμάτων επιτρέπει την πλήρη λειτουργική και αισθητική αποκατάσταση των ασθενών, χωρίς να χρειάζεται να εκτροχιστούν τα εναπομείναντα δόντια.
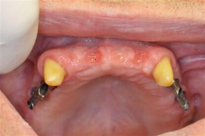
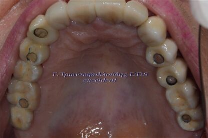
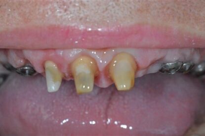
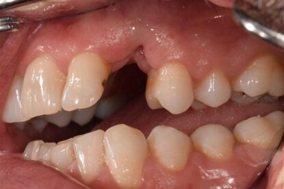
Στο ιατρείο μας ασχολούμαστε με την αποκατάσταση με εμφυτεύματα για περισσότερο από μία δεκαετία, έχοντας διεκπεραιώσει πολύ μεγάλο αριθμό περιστατικών, μερικά από τα οποία φαίνονται στις παραπάνω εικόνες.
















