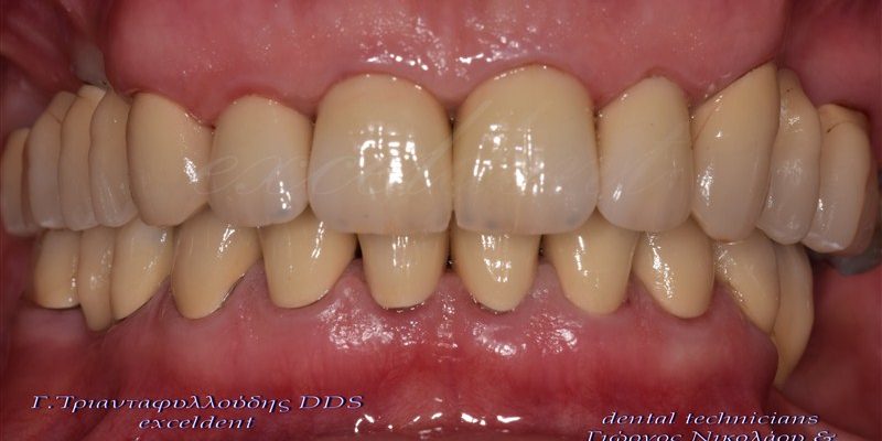
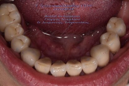
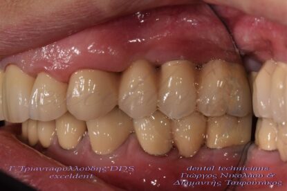
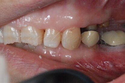
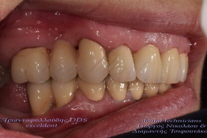
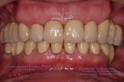
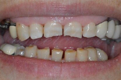
Ολική στοματική αποκατάσταση με μεταλλοκεραμικές γέφυρες
Στο ακραίο αυτό περιστατικό, χρειάστηκε να αναδιοργανώσουμε πλήρως τη σύγκλειση της ασθενούς, η οποία είχε καταρρεύσει λόγω ασύμμετρης απώλειας δοντιών και εκτεταμένων αποτριβών .
Μετά από καταγραφή της κεντρικής σχέσης των γνάθων(σταθερή σκελετική σχέση ισορροπίας), έγινε διαγνωστικό κέρωμα και ανύψωση της σύγκλεισης, μέσω μεταβατικών αποκαταστάσεων στο στόμα της ασθενούς(αντίστροφος σχεδιασμός).
Όταν σταθεροποιήθηκε η νέα σύγκλειση και η ασθενής μας ήταν ικανοποιημένη με την αισθητική εμφάνιση, αντιγράφηκε ο σχεδιασμός μας στις τελικές αποκαταστάσεις μεταλλοπορσελάνης.
Για τη σταθεροποίηση του τελικού αποτελέσματος, δόθηκε στην ασθενή νυχτερινός νάρθηκας προστασίας.
















