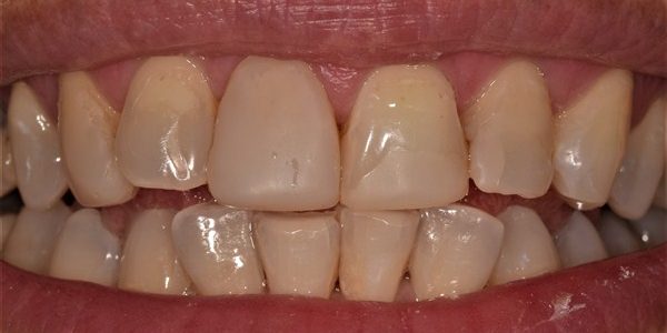
Αποκατάσταση της αισθητικής ζώνης σε μία συνεδρία, με διαστρωματικές εμφράξεις σύνθετης ρητίνης
Στο συγκεκριμένο περιστατικό η ασθενής επιθυμούσε διόρθωση της εμφάνισης των προσθίων έξι δοντιών της άνω γνάθου με άμεσες αποκαταστάσεις σύνθετης ρητίνης.
Χρησιμοποιώντας της αρχές της διαστρωματικής τεχνικής, αποκαταστήσαμε τα στοιχεία της αρμονίας των διαστάσεων (συμμετρία,‘χρυσή αναλογία’ εύρους-ύψους, ‘κυριαρχία’ κεντρικών τομέων) και της χρωματικής αρμονίας(φωτεινότητα, ένταση, απόχρωση, ημιδιαφάνεια), που συντελούν στην επίτευξη ενός φυσικού, νεανικού και υψηλής αισθητικής αποτελέσματος’




