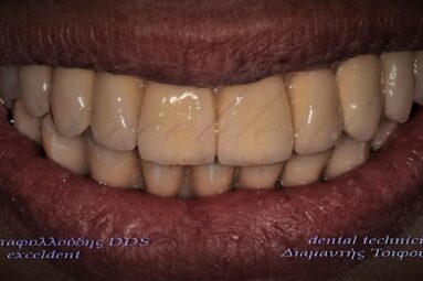
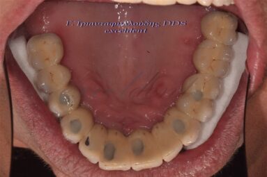
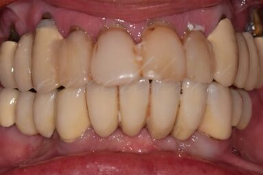
Ολική αποκατάσταση νωδού ασθενή με ακίνητες γέφυρες στηριζόμενες σε εμφυτεύματα
Περιστατικό αποκατάστασης με ακίνητες γέφυρες πορσελάνης στηριζόμενες σε 6 εμφυτεύματα στην άνω και 6 στην κάτω γνάθο
Ταυτόχρονα με την τοποθέτηση των εμφυτευμάτων, πραγματοποιήθηκε οστική ανάπλαση με οστικά μοσχεύματα, όπου το οστικό υπόστρωμα ήταν ελλιπές.
Κατά τη διάρκεια της οστεοενσωμάτωσης των εμφυτευμάτων η ασθενής εξυπηρετήθηκε αισθητικά και λειτουργικά με μεταβατικές αποκαταστάσεις, οι οποίες μας βοήθησαν να «προβάρουμε» το τελικό αποτέλεσμα.












